ブログ
2025年11月28日 金曜日
2025年11月27日(木)東京歯科大学同窓会学術委員会
2025年11月27日(木)東京歯科大学同窓会学術委員会
毎年恒例の全員発表…この日は委員全員が同じテーマでプレゼンします。
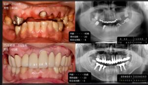
今年のテーマは前歯…様々な角度からのプレゼンは本当に楽しく勉強になります。

投稿者 山本歯科
2025年11月28日 金曜日
2025年11月27日(木)東京歯科大学同窓会学術委員会
毎年恒例の全員発表…この日は委員全員が同じテーマでプレゼンします。
今年のテーマは前歯…様々な角度からのプレゼンは本当に楽しく勉強になります。

投稿者 山本歯科